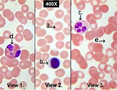
Blood Tissue




a red blood cell (rbc)
b white blood cell (lymphocyte)
c white blood cell (neutrophil)
d white blood cell (eosinophil)
e plasma (matrix)
found: in the circulatory system
function: carries oxygen, Carbon dioxide, ions, nutrients and wastes to and from the cells; contains cells for immune response (wbc).
Try a "Hole Quiz"

BACK