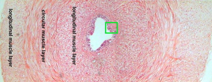
Cross Section of the Ductus Deferens

The ductus deferens has three layers of muscle which move the sperm up into the male body.
Click on the green square to see the epithelial cells of the internal surface.

AP II Lab | APLabs Homepage