Histology of the Vagina

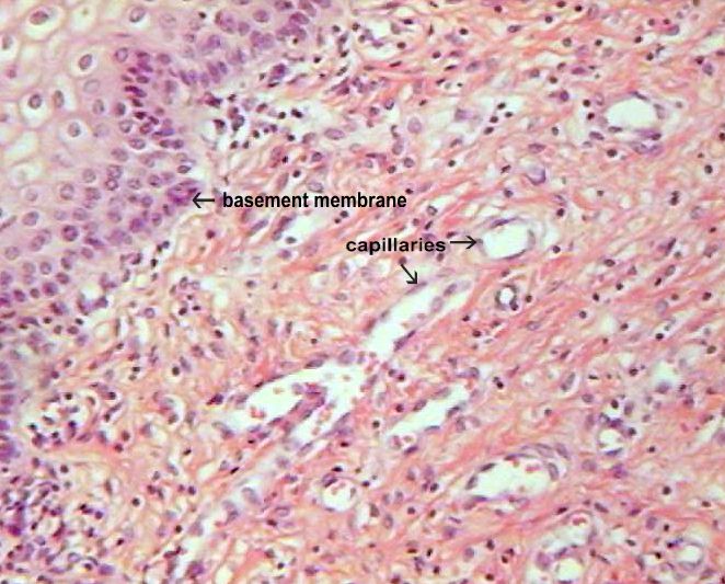
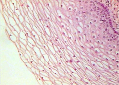
The mucosa is stratified nonkeratinized squamous epithelial tissue.
The submucosa is vascularized connective tissue with no glands or mucosal muscularis.
The muscularis is made up of smooth muscle.
Click on the green square to see the cellular detail of the mucosa and submucosa.

AP II Lab | APLabs Homepage