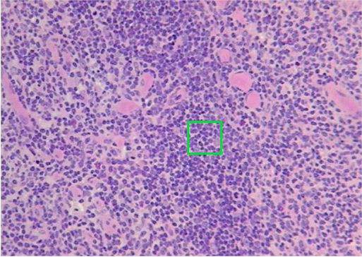
Thymus Gland Structure


The thymus gland is made of many lobules. Each lobule in turn has an outer cortex and an inner medulla.

The lobules are separated by connective tissue septa.

Hassal's corpuscles made of concentrically arranged epithelioreticular cells become more common into adulthood.

Click on the green square to see the details of the thymus lobule.


AP II Lab | APLabs Homepage