Stomach Tissue Structure 2X (in 3 sections)

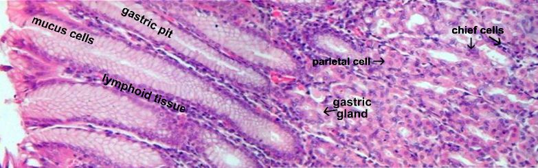
The mucosa is made up gastric pits with many secretory cells.
Note the blood vessels and connective tissue in the submucosa.
The stomach has an extra inner most muscle layer with fibers going in an oblique direction.
Click on the green square to see the details of the gastric pit.

AP 2 Lab | APLabs Homepage