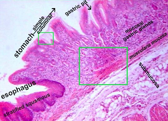
Gastroesophageal Junction

Gastroesophageal Junction - Note the surface tissue of the above photo the sharp change
of stratified epithelium of the esophagus to the simple columnar of the stomach

Click on the green squares to see details of the gastric mucosa.

AP II Lab | APLabs Homepage