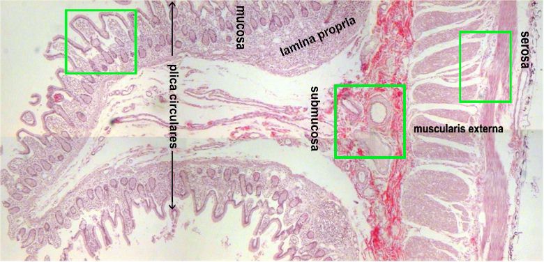
Microscopic View of the Jejunum

The jejunum, the middle section of the small intestine, is different from the duodenum due to lack of Brunner's glands.
It is different from the ileum because it has less goblet cells and generally lacks Peyer's patches.

Click on the green squares to see some details of the jejunum wall.

AP II Lab | APLabs Homepage