Ileum Microscopic Cross Section

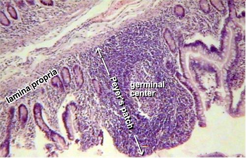
The ileum, the last section of the small intestine, is different from the duodenum and the jejunum by having more goblet cells in the mucosa and lymph nodules called Peyer's patches.
Click on the green squares to see details of the Peyer's patch and villi.

AP II Lab | APLabs Homepage