Large Intestine Microscopic Cross Section

Mucosal layer on the surface is made up simple columnar cells and a mucosal muscularis on the deep side .
Submucosa contains fibrous connective tissue and blood vessels.
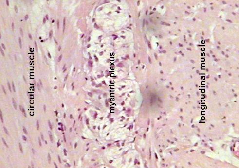
The muscularis externa is made up of a circular and a longitudinal muscle layer with a myenteric plexus in between the layers.
A very thin layer of Serosa is also present .
Click on the green squares to see details of the muscosa and muscularis externa.

AP II Lab | APLabs Homepage