Blood Cells
(click on thumbnail photos to enlarge)

    Leukocytes - Agranulocytes


    Leukocytes - Granulocytes



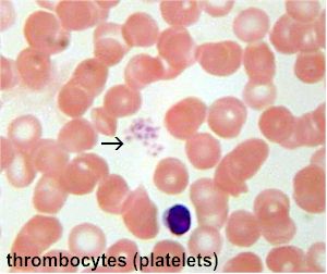
    Erythrocytes and Thrombocytes

Now Try a Matching Quiz

AP II Lab |            Back to APLabs Home           

E-mail comments to RM Chute